ניתוח חדשני שמשפר את הניידות ואיכות החיים של ילדים עם שיתוק מוחין.
ד"ר אמיר קרשנוביץ' מוביל את הרחבת הטיפול בקרניוסינוסטוזיס ופלגיוצפליה עם קסדות לעיצוב הגולגולת בישראל, ומאפשר למשפחות בארץ גישה לטיפול מתקדם ברמה עולמית.
ד"ר אמיר קרשנוביץ' וצוותו במרכז הרפואי לילדים שניידר ביצעו ניתוח מורכב להסרת גידול נדיר מבסיס הגולגולת בילדה בת 7 מרוסיה.
ד"ר אמיר קרשנוביץ' וצוותו מבצעים ניתוחים מתקדמים לגידולים, אפילפסיה ומומים מוחיים, בנוסף לטיפולים חדשניים לקרניוסינוסטוזיס.
ד"ר אמיר קרשנוביץ' וצוות בינלאומי ביצעו במקסיקו ניתוחי ריזוטומיה גבית סופר-סלקטיבית, שהובילו לשיפור הניידות ואיכות החיים של מטופלים עם שיתוק מוחין וספסטיות חמורה.
יאלי, בן 8 ואחד משלישייה, חווה נפילות וקושי בדיבור ביום הולדתו. במרכז שניידר לילדים אבחנו אותו עם מחלת מויה מויה, מום כלי דם מוחי נדיר, והוא עבר ניתוח מוח. אחיו התאום נותח גם כן באופן מניעתי.
ד"ר אמיר קרשנוביץ' וצוותו במרכז שניידר לילדים מובילים טיפול חדשני ולא פולשני לתיקון עיוותי גולגולת בתינוקות, כגון קרניוסינוסטוזיס ופלגיוצפליה תנוחתית, ומספקים פתרונות בטוחים ויעילים.
בזכות אבחון בזמן וניתוח בן 7 שעות בהובלת ד"ר אמיר קרשנוביץ', גידול בחוט השדרה הוסר בהצלחה, ונמנע נזק בלתי הפיך.
ד"ר אמיר קרשנוביץ' הוביל ניתוח מוצלח להסרת גידול נדיר בעמוד השדרה, מנע נזק בלתי הפיך ואפשר לדן להמשיך ללכת ולחזור לחיים פעילים ועצמאיים.
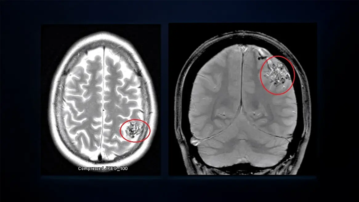
ד"ר אמיר קרשנוביץ' הוביל שני ניתוחים מורכבים להסרת גידולי מוח ב-RJ בל, שאיפשרו לו להחזיר את הניידות ולחזור לחיים נורמליים.
דן, בן 12, חש חוסר תחושה ברגליו במהלך מסיבה. אובחן אצלו גידול בעמוד השדרה, והוא עבר ניתוח חירום במרכז שניידר לילדים, מה שמנע שיתוק בלתי הפיך.
דייוואן וויליאמס, בן 10, עבר ניתוח חירום לאחר קרע של מום עורקי-ורידי מוחי. בזכות צוות מומחים בהובלת ד"ר אמיר קרשנוביץ' וד"ר טארון בהאלה, הוא הצליח לעבור את הניתוח והשיב את ניידותו.
בזכות ניתוח ריזוטומיה גבית סלקטיבית שביצע ד"ר אמיר קרשנוביץ', קירן, ילד עם שיתוק מוחין ספסטי, עבר מהסתמכות על הליכון להליכה עצמאית.
שני תינוקות אובחנו עם חסימה נדירה במוח עוד לפני הלידה. שניהם נותחו בהצלחה מיד לאחר הלידה, ובכך נמנעו סיבוכים נוירולוגיים בעתיד.
לאחר שאובחן עם קרניוסינוסטוזיס, יהושע הקטן עבר בהצלחה ניתוח שבוצע על ידי ד"ר אמיר קרשנוביץ' וצוותו במרכז שניידר לילדים. כעת, משפחתו שואפת לעזור למשפחות אחרות לקבל אבחון וטיפול בזמן.
ד"ר אמיר קרשנוביץ' מתמנה לראש יחידת הנוירוכירורגיה לילדים במרכז הרפואי לילדים שניידר, לאחר קריירה מרשימה בארה"ב.
ד"ר אמיר קרשנוביץ' ביצע בהצלחה את ההליכים הכירורגיים הראשונים לטיפול בספסטיות: ריזוטומיה גבית סלקטיבית והשתלת משאבת באקלופן במרכז הרפואי לילדים שניידר, ושיפר את הניידות של ילדים עם שיתוק מוחין.
ד"ר אמיר קרשנוביץ' ביצע בהצלחה את הריזוטומיות הגבית הסלקטיביות הראשונות ואת השתלות משאבות הבאקלופן במרכז הרפואי לילדים שניידר.
בזכות תוכנית KIBS, שהוקמה על ידי ד"ר אמיר והגב' הילה קרשנוביץ', אניילו נסע לישראל לניתוח חירום שהציל את חייו, לאחר שאובחן עם מום עורקי-ורידי מוחי.
ד"ר אמיר קרשנוביץ' מוביל תוכנית חדשנית לנוירוכירורגיה בבית החולים לילדים ג'נט וייס, ומציע טיפולים מתקדמים לגידולי מוח, אפילפסיה, הידרוצפלוס ושדרה שסועה.
נהלים חדשניים לטיפול בהידרוצפלוס, קרניוסינוסטוזיס והפרעות נוירולוגיות נוספות בילדים. הגישה הזו שינתה את חייהם של מטופלים שבעבר נחשבו למקרים חסרי תקווה.
בעזרת השתלת מגרה עצב הווגוס (VNS) וניתוח מוח מתקדם, ג'ושוע השאיר מאחור את ההתקפים שליוו אותו מאז שהיה בן 4 חודשים.
נותח בדחיפות בשניידר, ולאחר שלושה חודשים חזר הביתה בריא לגמרי.
במהלך טיול עם אביה בפתח תקווה, חפץ כבד פגע בעגלה. גלי נותחה במרכז שניידר ועברה שיקום ממושך עם התאוששות מעוררת תקווה.
אחד מכל 2,500-3,000 תינוקות נולד עם סגירה מוקדמת של תפרי הגולגולת. מהם הסוגים, הסכנות הבריאותיות והאפשרויות הניתוחיות.
























